可编程阵列超声成像平台FlexEcho
用户可编程超声平台赋能前沿科学研究
FlexEcho系列可编程阵列超声成像平台是一款用户可编程控制的开放式超声成像研究平台。利用可编程开放式的设计架构,用户可灵活配置超声成像参数,可支持各类前沿超声成像应用,支持超快超声成像、超高频超声成像、超分辨超声成像等多种成像模式的数据采集。
可编程阵列超声成像平台FlexEcho
用户可编程超声平台赋能前沿科学研究
FlexEcho系列可编程阵列超声成像平台是一款用户可编程控制的开放式超声成像研究平台。利用可编程开放式的设计架构,用户可灵活配置超声成像参数,可支持各类前沿超声成像应用,支持超快超声成像、超高频超声成像、超分辨超声成像等多种成像模式的数据采集。
-

· 支持最高125MSPS和16位ADC采样率
· 支持最高50MHz,256阵元超声换能器工作
· 支持超声信号的并行发射与接收,通道数据可同步采集与存储
· 平面波模式下可实现发射接收控制及并行数据处理
· 通道数可配置,单台最高256通道的超声收发数据采集
· 内部可选配高性能GPU和固态硬盘
· 支持可穿戴/线阵/相控阵/面阵等多类超声换能器
· 可选配B模、PW和Color等常规成像模块
· 可选配超快超声/微血流/超分辨/光声等多种新型成像模式
· 可选配低强度超声治疗和成像引导下的超声治疗模式
-
FlexEcho系统以高性能硬件架构和全可编程设计,为超声成像研究提供强大支持。其灵活的配置能力可满足从基础研究到前沿探索的全方位需求,是推动超声技术创新的理想实验平台。

-

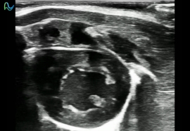
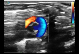
高频超声成像
-

高频超声成像
-

高频超声成像
-

高频超声成像
-

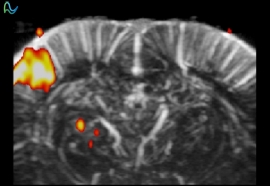
脑功能成像
-

脑功能成像
-

脑功能成像
-

超声-光声成像
-

超分辨超声成像
-

超分辨超声成像
-

超分辨超声成像
-

超分辨超声成像



